Jaunākais izdevums

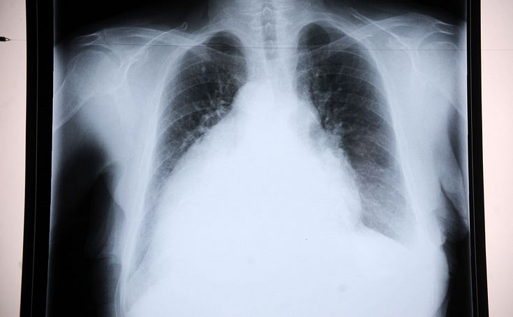
«Plaušu transplantācija ir ļoti dārgs pasākums. Vienas plaušas transplantācija varētu izmaksāt apmēram 300 000 eiro,» VC4 «Capital Clinic Riga» torakālais ķirurgs, bronhologs Artjoms Špaks sacīja RīgaTV 24 raidījumā «Nākotnes medicīna», atklājot to, ka Latvijas ārsti ir tehniski gatavi veikt plaušu transplantācijas operāciju.

Špaks raidījumā sacīja, ka ārsti ir gatavi veikt šādu operāciju, tomēr ir vairākas problēmas, ar ko nāktos saskarties pacientiem.

Pirmā problēma ir finansējums. «Plaušu transplantācija ir ļoti dārgs pasākums. Vienas plaušas transplantācija varētu izmaksāt apmēram 300 000 eiro,» atklāja bronhologs. Viņš norādīja, ka jāņem vērā arī pēcoperācijas periods un ar to saistītās izmaksas: «Izmaksas medikamentiem un pārbaudēm ir ap 30 000 mēnesī.»

Otra problēma esot rezultāti un operācijas efektivitāte. «Diemžēl 5 gadu dzīvildze ir tikai 50% šo pacientu. Arī nevarētu teikt, ka dzīves kvalitāte dramatiski uzlabojas,» apgalvoja Špaks.

Viņš gan atklāja, ka ar šo problēmu saskaras visā pasaulē: «Tā ir visas Eiropas un pasaules problēma. Diemžēl no pacientiem, kam tiek transplantēti orgāni, rezultāti plaušām ir vieni no sliktākajiem.»

Jaunākais izdevums

Dalies ar šo rakstu

SIA "Rīgas Austrumu klīniskā universitātes slimnīca" (Austrumu slimnīca) un akciju sabiedrība "UPB" parakstījušas līgumu par Austrumu slimnīcas jaunā Plaušu veselības un infekciju slimību korpusa būvniecību.

Tas būs līdz šim vērienīgākais attīstības projekts Austrumu slimnīcas vēsturē - plānots, ka tā īstenošanas rezultātā uz mūsdienīgām un starptautiskiem standartiem atbilstošām telpām Hipokrāta ielā, Rīgā, 2028.gada pirmajā pusē pārcelsies kritiskā stāvoklī esošais slimnīcas stacionārs "Tuberkulozes un plaušu slimību centrs". Tādējādi vienuviet tiks koncentrēts jau trīs Austrumu slimnīcas stacionāru darbs, nodrošinot augstāku pieejamības un mediķu multidisciplinārās sadarbības līmeni.

Austrumu slimnīcas iepirkumu komisija pēc sarunu procedūras "Jaunā ārstniecības korpusa Hipokrāta ielas teritorijā izbūve (projektēšana, autoruzraudzība un būvdarbi)", ID Nr. RAKUS 2025/25S/ERAF, noslēguma par saimnieciski visizdevīgāko piedāvājumu atzina akciju sabiedrības "UPB" iesniegto piedāvājumu, kura kopējā piedāvātā līgumcena ir 69 515 057,86 eiro bez PVN.

Jaunākais izdevums

Dalies ar šo rakstu

Iespējas un tehnoloģijas mūsdienās strauji attīstās visās dzīves jomās, arī estētiskajā ķirurgijā. Plastiskā operācija, ko veic pieredzējis ķirurgs, ir iespēja uzlabot izskatu, iegūstot pamanāmu, ilgnoturīgu rezultātu. Izpētīsim, kādas ir populārākās plastiskās ķirurģijas procedūras, kā arī noskaidrosim, kādi ir to ieguvumi un varbūtējie riski.

Vēdera plastika un citas populārākās plastiskās operācijas

Izskatam ir liela nozīme mūsu pašapziņas veidošanā, kas savukārt ietekmē socializēšanos, darba un personisko dzīvi. Jo labāk mums patīk tas, ko redzam spogulī, jo labāk, pārliecinātāk jūtamies. Un šī pārliecība ietekmē to, ko sakām un kā rīkojamies, paplašinot mūsu iespējas dzīvē. No šāda viedokļa raugoties, plastiskā operācija ir vērtīga investīcija dzīves kvalitātē. Pretēji stereotipiem, plastiskās operācijas veic gan sievietes, gan vīrieši. Ar to palīdzību iespējams novērst iedzimtus vai iegūtus defektus, uzlabot sejas kontūru, ausu un deguna formu, pilnveidot krūšu formu, veikt tauku atsūkšanu un vēdera plastiku.

Citas ziņas

Rada automatizēta plaušu ventilatora prototipu cīņai ar Covid-19

Zane Atlāce - Bistere,23.03.2020

Jaunākais izdevums

Dalies ar šo rakstu

Zinātnieku un inženieru komanda Rīgas Tehniskās universitātes (RTU) Dizaina fabrikā rada prototipu automatizētam plaušu ventilatoram, kura ražošana būtu pietiekami vienkārša un lietošana ērta, lai spētu operatīvi palīdzēt pacientiem ar "Covid-19" izraisītiem elpošanas traucējumiem, informē RTU pārstāve Lāsma Vaivare.

Visā pasaulē tiek meklētas lētas alternatīvas mākslīgās elpināšanas aparātiem, kuru ražošanas kapacitāte šobrīd ir nepietiekama, tāpēc "Covid-19" smagāk skartajās valstīs to trūkst. Tomēr, kā saka RTU Materiālzinātnes un lietišķās ķīmijas fakultātes Funkcionālo materiālu tehnoloģiju zinātniskās laboratorijas pētnieks Guntis Kuļikovskis, īsti funkcionējošu risinājumu vēl nav.

Latvijas zinātnieku, inženieru un ekspertu komandai pirmajā virtuālajā hakatonā "HackForce" izdevies radīt strādājošu automatizētu plaušu ventilatora prototipu. Pēc konsultācijām ar anesteziologiem un reanimatologiem tas vēl tiek pilnveidots, veidojot ierīci funkcionāli pilnvērtīgāku un lietošanai ērtāku, izstrādājot lietotāja saskarni. Jau veidojas sadarbība ar vairākiem uzņēmumiem, lai sāktu ražošanu.

Tirdzniecība un pakalpojumi

Austrumu slimnīcas jaunā korpusa būvniecībai saņemti četri piedāvājumi

Db.lv,18.02.2025

Jaunākais izdevums

Dalies ar šo rakstu

Noslēdzoties Rīgas Austrumu klīniskās universitātes slimnīcas (Austrumu slimnīca) jaunā Infekciju un plaušu slimību korpusa būvniecības iepirkumam 2025. gada 18. februārī, saņemti četri pieteikumi no Latvijas būvniecības uzņēmumiem un to apvienībām.

Pretendentu aktīvā interese sniedz iespējas efektīvi turpināt darbu pie Nākotnes slimnīcas koncepta ieviešanas, kas ietver modernas un arvien efektīvākai ārstniecībai piemērotas telpas un tehnoloģiskos risinājumus, stiprinot pašreizējo profesionāļu komandu un pārvaldību, kā arī piesaistot un motivējot jaunus talantus ilgtermiņa sadarbībai.

Austrumu slimnīcas izsludinātajā publiskā iepirkuma procedūrā par jaunā infekciju un plaušu slimību korpusa būvdarbiem saņemtie pieteikumi apliecina, ka projekta virzība tiek turpināta, lai noteiktajā termiņā realizētu noteiktu darbu apjomu un efektīvi izmantotu Atveseļošanas un noturības mehānisma plāna finansējumu.

Finansējums

Nodibināts Roche Inovāciju inkubators un izsludināts pirmais projektu konkurss

Db.lv,29.07.2020

Jaunākais izdevums

Dalies ar šo rakstu

Veselības aprūpes risinājumu kompānija "Roche Latvija" ir nodibinājusi "Roche Inovāciju inkubatoru", un šonedēļ ir izsludināts pirmais projektu konkurss, kas vērsts uz plaušu vēža morfoloģijas materiāla apstrādes un analīzes ar mākslīgo intelektu attīstīšanu.

"Roche Inovāciju inkubatora" mērķis ir veicināt un atbalstīt jaunu un inovatīvu ideju izstrādi, kā arī pētniecību noteiktās veselības aprūpes jomās un produktu vai pakalpojumu radīšanu.

Inkubators darbosies kā pastāvīga jauno ideju platforma, kuras ietvaros atbilstoši izsludinātajiem uzsaukumiem būs iespējams saņemt "Roche Latvija" atbalstu inovatīvā risinājuma idejas izstrādei.

Ja ideja ir stadijā, kur nepieciešams turpināt tās izstrādes darbu, pētniecību un attīstīšanu, atbalsta saņēmējs pretendēs uz praktisku un konsultatīvu "Roche Latvija" palīdzību, piemēram, biroja telpu nodrošināšana, aprīkojuma pieejamība, speciālistu konsultācijas un cits tamlīdzīgs atbalsts.

Ražošana

Eiropola operācijā 23 ES valstīs konfiscē lielu apjomu nelegālas degvielas un aiztur 25 cilvēkus

LETA/BNS,21.09.2018

Jaunākais izdevums

Dalies ar šo rakstu

Kopīgā tiesībsargājošo iestāžu operācijā pret krāpniecību degvielas tirgū 23 Eiropas Savienības (ES) valstīs, tai skaitā Latvijā, Lietuvā un Igaunijā, konfiscēti 2200 tonnu nelegālas degvielas un aizturētas 25 personas, piektdien paziņojis ES policijas aģentūras - Eiropola - preses dienests.

Operācijas gaitā konfiscēti arī 400 tonnu citu krāpšanas procesā izmantoto vielu. Papildus veiktā finanšu izmeklēšana ļāvusi konfiscēt arī 109 transportlīdzekļus, 19 nekustamā īpašuma objektus un naudu vairāk nekā trīs miljonu eiro vērtībā. Kriminālprocesi un nodokļu auditi sākti gandrīz visās valstīs, kas piedalījās operācijā, norādījis Eiropols.

Lai nemaksātu akcīzes nodokli, noziedznieki piejaukuši degvielai piemaisījumus, mainot tās īpašības, un pārdevuši iegūto produktu melnajā tirgū par daudz zemāku cenu, tādējādi gūstot milzīgu peļņu, secinājuši izmeklētāji.

Kā uzsver Eiropols, šāda degviela var bojāt automašīnu dzinējus un apdraud patērētāju veselību un drošību.

Citas ziņas

Latvijā aizturētais grupējums izkrāpis vairāk nekā 2 miljonus eiro no Ķīnas iedzīvotājiem

LETA,15.08.2017

Jaunākais izdevums

Dalies ar šo rakstu

Pirmdien Latvijā aizturētais noziedzīgais grupējums izkrāpis vairāk nekā divus miljonus eiro no Ķīnas iedzīvotājiem, preses konferencē informēja Valsts policijas (VP) kriminālpolicijas pārvaldes priekšnieks Jānis Lazdiņš.

Krāpšana notikusi izmantojot telefonkrāpšanas metodes, skaidroja Lazdiņš, piebilstot, ka krāpšana veikta laika posmā no šī gada marta līdz jūlija beigām.

VP saņēma tiesiskās palīdzības lūgumu no Ķīnas, kā rezultātā veikta izmeklēšana un operatīvās darbības divu mēnešu garumā, kas rezultējusies pirmdien veiktajā operācijā, skaidroja Lazdiņš.

Tāpat viņš minēja, ka palīdzība saņemta no Valsts robežsardzes, jo iesaistīts liels skaits aizdomās turamo, kuriem nav skaidra izcelsmes valsts, kā arī ir aizdomas par to, vai viņi atrodas Latvijā legāli.

Lazdiņš norādīja, ka starp aizturētajiem ir arī viens Latvijas pilsonis un piebilda, ka ir izņemts liels apjoms ar lietiskajiem pierādījumiem, kas palīdzēs Ķīnas tiesībsargājošajām institūcijām.

Ražošana

Olainfarm dāvinās plaušu mākslīgās ventilācijas ierīces 100 tūkstoši eiro vērtībā

Lelde Petrāne,26.03.2020

Jaunākais izdevums

Dalies ar šo rakstu

Lai sniegtu atbalstu Covid-19 vīrusa inficēto personu ārstniecībai un ņemot vērā valstī izsludināto ārkārtējo situāciju uzņēmums "Olainfarm" 25. martā pieņēmis lēmumu par atbalsta sniegšanu VSIA "Paula Stradiņa klīniskā universitātes slimnīca".

AS "Olainfarm" ir uzsākusi plaušu mākslīgās ventilācijas iekārtu iegādi 100 000 eiro vērtībā, kas tiks dāvinātas slimnīcai, lai nodrošinātu Covid-19 vīrusa inficēto personu ārstniecību.

Tāpat AS "Olainfarm" bez atlīdzības nodos ārstniecības iestādei pustonnu izopropilspirtu, kas izmantojams dezinfekcijas vajadzībām un Covid-19 vīrusa uzliesmojuma izplatības ierobežošanai.

"Mums ir liela atbildība ne tikai pret AS "Olainfarm" un visa uzņēmuma grupas darbiniekiem, bet, kā vienam no Baltijas lielākajiem farmācijas uzņēmumiem, arī pret mūsu valsti un iedzīvotāju veselību kopumā. Koronavīrusa izplatība ir jāierobežo un mums jābūt gataviem krīzes risinājumiem.

Jaunākais izdevums

Dalies ar šo rakstu

2025. gada janvārī Rīgas Austrumu klīniskā universitātes slimnīca (Austrumu slimnīca) uzsāks vērienīgu slimnīcas paplašināšanas projektu – jauna apvienota infekciju un tuberkulozes un plaušu korpusa būvniecību Rīgā, Hipokrāta ielā 2, nodrošinot daudzveidīgu ārstniecības pakalpojumu pieejamību vienuviet.

Tas nozīmē, ka no 2027. gada sākuma zem viena jumta strādās un pakalpojumus centralizēti nodrošinās vairāki līdz šim dažādās vietās atsevišķi funkcionējoši stacionāri, tādējādi būtiski uzlabojot pacientu pieredzi. Jauno ēku projektu izstrādājis Somijas arhitektu uzņēmums “AW2 Architects Oy”, kurš specializējies tieši ārstniecības iestāžu projektēšanā.

Jau salīdzinoši tuvā nākotnē Austrumu slimnīcā gaidāmas vērienīgākas pārmaiņas, ko nesīs jauna ārstniecības korpusa izbūve Hipokrāta ielas teritorijā, Rīgā, apvienojot vairākus stacionārus, tādējādi nodrošinot daudzveidīgu ārstniecības pakalpojumu pieejamību vienuviet.

Slimnīcas vēsturē līdz šim visapjomīgākā projekta rezultātā Hipokrāta ielas teritorijā tiks uzcelta jauna moderna ēka, uz kuru pārcelsies stacionāri “Tuberkulozes un plaušu slimību centrs”, kas patlaban ārstniecības pakalpojumus sniedz ārpus galvaspilsētas robežām Stopiņu pagastā, un “Latvijas Infektoloģijas centrs”, kas darbojas Linezera ielā 3, Rīgā.

Biznesa tehnoloģijas

Stradiņos notiks biotehnoloģiski ražotu audu 3D printera prezentācija

Lelde Petrāne,21.12.2017

Jaunākais izdevums

Dalies ar šo rakstu

Paula Stradiņa Klīniskās universitātes slimnīcas Šūnu transplantācijas nodaļā notiks projekta «3D printeris biotehnoloģiski ražotiem audiem» rezultātā izgatavotā printera prototipa, ar kuru var drukāt cilvēku audu pamatnes, prezentācija.

Prezentācijas laikā plānots novērtēt printera darbību, vai ir izdevies izstrādāt biomedicīnā izmantojamus 3D printerus, kas spēj drukāt pamatnes biotehnoloģiski ražotiem audiem.

Projekta specifiskais mērķis ir izstrādāt praktisko pētījumu, novērtējot audu pamatnes virsmas adhēziju ar skrimšļus veidojošām šūnām un izstrādāt 3D bioprintera prototipu, kas izmantojams mākslīgo skrimšļu 3D printēšanai. Līdz šim Zinātniskā institūta Šūnu transplantācijas nodaļā tiek veikta šūnu kultūru uzturēšana un audu pamatņu kultivēšana, kā arī printera prototipa darbības testēšana sterilā vidē.

Prezentācijā piedalīsies projekta zinātniskais vadītājs profesors Andrejs Ērglis un galvenais pētnieks Ēriks Jakobsons, Stradiņa slimnīcas valdes priekšsēdētāja Ilze Kreicberga, SIA «Baltic3d.EU» un SIA «LEO Pētījumu Centrs» pārstāvji.

Jaunākais izdevums

Dalies ar šo rakstu

Īsā laikā Baltkrievija no mūsu sadarbības partnera kļuvusi par krīzes un draudu avotu Latvijai. Laikraksts Diena iepriekš jau aprakstīja Baltkrievijas uzņēmējdarbības ciešo saikni ar prezidentu Aleksandru Lukašenko. Tagad uzmanības centrā nelegālās imigrācijas ierocis, kuru arī ne bez Lukašenko ziņas izmantoja gan pret Latviju, gan Lietuvu un Poliju, pērn novembrī izraisot ļoti saspīlētu situāciju uz Baltkrievijas–Polijas robežas.

Baltkrievijas acīmredzami mākslīgi veidotā migrantu krīze 2021. gada nogalē kļuva par neatņemamu mediju dienaskārtības sastāvdaļu. Notikumi, kas norisinājušies uz Baltkrievijas robežas un kur klātesoši bija tūkstošiem spēka struktūru pārstāvju, nav klasificējami kā klasisks militārs konflikts, lai arī brīžiem šķita, ka tas teju sāksies. Pietiks ar apzīmējumu "hibrīdagresija".

Lasi arī:

Kā Baltkrievija kļuva par cigarešu kontrabandas centru

Īsā laikā Baltkrievija no mūsu sadarbības partnera kļuvusi par krīzes un draudu...

Kā iepatikties Lukašenko. Neaizskaramais oligarhs Topuzidis

Laikraksts Diena turpina rakstu sēriju Cita Baltkrievija, kurā atklāj, kā Baltkrievijas biznesa,...

Pāvela Topuzida biznesa īpatnības: turpinājums

Laikraksts Diena turpina pētīt Baltkrievijas uzņēmējdarbības specifiku, uzmanības centrā izvirzot...

Šī krīze, kura migrantus pārvērtusi par instrumentu dažnedažādu mērķu sasniegšanai, vienlaikus eksportējot koronavīrusu uz Eiropas Savienību, spilgti izgaismo arī vienu no šo hibrīdagresiju provocējušajām dimensijām, proti, ekonomiskos un biznesa ieguvumus, kā arī zaudējumus. Finanšu pasaules mūžīgais jautājums "kam tasizdevīgi?" īsti vietā, aplūkojot Tuvo Austrumu migrantu tranzītu caur Baltkrieviju.

Mucai spunde vaļā

2021. gada pavasarī uz pasliktinošos attiecību ar Baltkrieviju fona Lietuva vērš uzmanību uz pieaugošo nelegālo migrantu straumi, kas valstī ieplūst pāri Baltkrievijas robežai. Visa 2020. gada laikā Lietuvā aiztur tikai 81 nelegāli, bet līdz 2021. gada aprīlim – jau pavisam 90.Par atskaites punktu, kas mucai atrāvis spundi vaļā, tradicionāli tiek minēta 2021. gada 24. maijā notikusī Ryanair lidmašīnas, uz kuras borta atradās opozīcijas žurnālists Romāns Protasevičs, piespiedu nosēdināšana Minskas lidostā. A. Lukašenko apvainojas par šim notikumam sekojušo Rietumu sektorālo sankciju paketi un paziņo, ka pārtrauks kontrolēt nelegālo migrantu plūsmu. 26. maijā viņš apsola Eiropu pārpludināt ar migrantiem.22. jūnijā sakot runu Brestas cietoksnī saistībā ar 80. gadadienu, kopš trešā reiha karaspēks šķērsoja PSRS robežu, A. Lukašenko skaidri akcentē, ka migrantu plūsmas ir atriebība Rietumiem par sankcijām, kas vērstas pret Baltkrieviju: "Uz Lietuvu, Latviju un Poliju metās nelegālo migrantu tūkstoši un tūkstoši. Viņi [kolektīvie Rietumi] mums prasa sevi aizsargāt pret kontrabandu, pret narkotikām (..) Mēs tērēsim simtiem miljonu dolāru gadā, tāpat kā agrāk, lai aizstāvētu jūsu ģeopolitiskās intereses?"

Šā izteikuma detaļu patiesumu apšauba baltkrievu Nacionālās antikrīzes pārvaldes līderis Pāvels Latuško: "Valsts robeža tika uzlabota, lielā mērā pateicoties ES, kā arī Krievijas palīdzībai. Es to saku kā bijušais Baltkrievijas sūtnis Polijā, kurš ņēmis dalību lielākās daļas uz Polijas robežas esošo caurlaides punktu organizēšanā. Es zinu, no kādiem avotiem tie tika finansēti, par kādu naudu tika pirktas iekārtas, tehnika. Resursi tika gūti, pateicoties Frontex.

"Plašas nelegālo migrantu plūsmas caur Baltkrieviju uz ES nav novērotas pat lielās tautu staigāšanas laikā 2015.– 2016. gadā un tādas it kā nevar būt principā. ES austrumu spārnā gandrīz neviens ko tādu nav arī prognozējis. Saskaņā ar Frontex statistiku pēdējos 10 gados maksimālais ES austrumu robežu šķērsojušo nelegālo imigrantu skaits nav pārsniedzis 280 cilvēku mēnesī. Visaugstākie rādītāji attiecināmi uz 2015. gadu, kad Eiropa uzņēma vairāk nekā miljonu migrantu, galvenokārt no Sīrijas un Irākas.

Slepenā operācija Slūžas

Tomēr A. Lukašenko samelojas ne vien attiecībā uz detaļām, bet arī būtību – nelegāļu straume ES virzienā paplašinājās vēl pirms Ryanair lidmašīnas nosēdināšanas. Zināma, kaut arī neliela un slepenībā turēta pieredze Tuvo Austrumu migrantu nosūtīšanai uz ES Baltkrievijai jau eksistēja, un A. Lukašenko nevarēja nezināt, ka šis maršruts jau aprobēts.

Baltkrievija vienmēr bijusi tranzīta valsts. Migranti no Afganistānas, Pakistānas un citām Āzijas valstīm nereti nokļuva tās teritorijā. Cīņas ar organizēto noziedzību un korupciju Galvenās pārvaldes (CONKGP) Trešā nodaļa, ko vadījis Aleksandrs Azarovs, ķēra nevis migrantus, bet gan starptautisko noziedzīgo grupējumu dalībniekus, kuri veidoja plūsmu.

Baltkrievijas robeža patiesībā izsenis nav bijusi aiz atslēgas. Valsts drošības komiteja (VDK) regulāri īstenoja operāciju Slūžas, tīmekļa vietnes Ukr.net žurnālistam pastāsta A. Azarovs: "Tādas operācijas notika, lai vara nopelnītu naudu. Kad Valsts robežas komitejas struktūrvienību OSAM vadīja Terteļs, VDK pašreizējā priekšsēdētāja brālis, šī operācija tika plaši īstenota. OSAM darbinieki ieveda nelegāļus un sūtīja pāri robežai. Viņi taču zina situāciju uz robežas, vienību pārvietošanās shēmas. Un ņēma par to naudu, kas nonāca pie varas esošo kabatās. "OSAM ir atsevišķs pusslepens aktīvo pasākumu dienests ar neierobežotām pilnvarām, kas darbojas visā Baltkrievijas teritorijā un pakļaujas vienīgi A. Lukašenko.

Šajā specnodaļā dienējuši arī A. Lukašenko dēli Viktors un Dmitrijs. V. Lukašenko savulaik bija arī Baltkrievijas Drošības padomes loceklis, tagad viņš ir rezerves ģenerālmajors. Nauda, ko elites specnodaļas OSAM virsnieki saņēma par nelegālo migrantu plūsmas organizēšanu, tika nopelnīta absolūti nelegālā veidā, akcentē A. Azarovs.

"Nelegāļi pēc iebraukšanas Baltkrievijā maksāja naudu. Tas bija fiksēts, CONKGP bija operatīvās uzskaites lietas, ko pēc tam savāca VDK – un vēlāk šīs lietas pazuda. Šī bija nelegāļu pārsūtīšanas oficiālā valsts politika. Un tagad, kā es saprotu, šī operācija Slūžas atsākusies. Taču daudz pastāvīgākā mērogā," komentē A. Azarovs.

Atstrādāta shēma

Pēc A. Lukašenko skaļajiem izteikumiem Viļņa sāk fiksēt strauju nelegāļu skaita pieaugumu: jūlija sākumā viņu skaits sasniedz ap 800, augustā – jau vairāk nekā 4000 (1. augustā aizturēts rekordskaits – 289).

Vēl gada sākumā 768 kilometru garās Baltkrievijas– Lietuvas robežas infrastruktūra kā tāda praktiski neeksistē, tā ir izteikti caurumaina. Lietuvas iekšlietu ministre Agne Bilotaite maija beigās precizē, ka videonovērošanas sistēma aptver mazāk nekā 40% no šīs robežas, un, lai situāciju uzlabotu, nepieciešami divi gadi un 38 miljoni eiro. Jūnija beigās A. Bilotaite portālam Delfi.lt paziņo: "Nelegālā migrācija no Baltkrievijas uz Lietuvu – organizēts un pelnošs bizness, kurā iesaistīti baltkrievu ierēdņi un virsnieki."

Vasarā Irākas iedzīvotājs uz anonimitātes principa pastāsta medijprojektam Reform.by, ka A. Lukašenko teikto, ka Baltkrievija pārtrauc aizšķērsot migrantu plūsmas, vairākas dienas pēc kārtas translējusi Irākas televīzija. Par Baltkrieviju plašāk sākuši vēstīt arī citi Irākas plašsaziņas līdzekļi, kas seko līdzi migrācijas tēmai. Līdztekus tam informācija par iespējām caur Baltkrieviju nonākt Lietuvā sāk iekarot savu vietu dārknetā. Simtiem analoģisku piedāvājumu parādās WhatsApp, reģionā vispopulārākajā saziņas vietnē. Ceļojumu biroju reklāmas ar izcenojumiem un prasībām klientiem izraibina Instagram.

Viens pēc otra savairojas sociālo tīklu kanāli ar tūkstošos mērāmu auditoriju, kur var saņemt padomus, kā šķērsot Baltkrievijas robežu. Tajos publicē pavadoņu kontaktus un ērtas vietas robežas pāriešanai, iesaka, kā ģērbties un ko ņemt līdzi. Dažās sarakstes grupās piedāvā izgatavot viltotus dokumentus, tostarp ES valstu pases, piemēram, par 2400 ASV dolāriem.

Pēkšņi ceļu uz ES caur Baltkrieviju Irākā un Tuvajos Austrumos sāk uzskatīt par visātrāko un drošāko, secina lietuviešu portāls 15min.lt, pieminot, ka par nokļūšanu ES pār Baltkrievijas–Lietuvas robežu tiek prasīti 5–15 tūkstoši eiro. Salīdzinājumam 2021. gada vasarā nelegāla iekļūšana Eiropā pāri Egejas jūrai izmaksā 8–9 tūkstošus dolāru, caur Balkāniem – astoņus tūkstošus eiro, savukārt pāri Vidusjūrai – 3–5 tūkstošus eiro. Par parastu tūrisma ceļojumu no Irākas uz Baltkrieviju saskaņā ar Reform.by sniegto informāciju ceļojumu biroji prasa 500–1500 dolāru. Vasarā, pateicoties ievērojamam pieprasījuma pieaugumam, šādas tūres cena jau ievērojami kritusies.

Ieceļotāji no Tuvajiem Austrumiem Minskā drīz kļūst par jauniem acu tīksmināšanas objektiem, kas raisa lielāku interesi nekā pilsētas arhitektūra, secina ziņu aģentūra Lenta.ru. Lai arī 2021. gada vasarā Baltkrievijas galvaspilsētā gandrīz neparādās ierastie tūristi, Minskas un Grodņas hoteļus līdztekus migrantiem palīdz pārpildīt arī žurnālisti, kuri filmē un fotografē nelegāļus. Migrantu plūsmu var uzskatīt par lielu, lai arī pārsvarā neformālu ekonomikas sektoru, kura izaugsmi nodrošina pat plašsaziņas līdzekļi.

Pateicoties Baltkrievijai, 2021. gadā otro elpu guvis pārrobežu bizness ar migrantiem, kas krāšņi uzplauka 2015.–2016. gadā. Attiecībā uz šo laikposmu Eiropols secinājis, ka vairāk nekā 90% Eiropā ieceļojušo migrantu izmantojuši kriminālās pasaules atbalstu. Lielākā daļa no viņiem par šiem pakalpojumiem maksājusi 3,2–6,5 tūkstošus dolāru. Piemēram, ceļojuma paketes, kurā iekļauti pārlidojumi no Turcijas uz Lībiju un pēc tam no Lībijas uz Itāliju, cena ir 3700 dolāru. Pārvešanas pāri Vidusjūrai neoficiālās izmaksas: pieaugušajiem – 1000 dolāru, bērniem – 500. Rezultātā šī starptautiskā biznesa apgrozījums sastādīja 5–6 miljardus dolāru, tajā iesaistījās vairāk nekā 100 valstu pilsoņi.

Zina, ko ved

2021. gada vasarā Irākas un Sīrijas tūrisma tirgū jau nostabilizējies jauns, vilinošs produkts nodrošinātai publikai: iekļūšana ES kā bēglim. Šādā paketē parasti iekļauta Baltkrievijas grupas vīza (individuālā – par atsevišķu piemaksu), lidojums ekonomiskajā klasē uz Minsku (biznesa klasē – par atsevišķu piemaksu), dzīvošana Minskas viesnīcā, piemēram, uz trim diennaktīm, aizvešana līdz robežai, kuras šķērsošana esot 20 minūšu jautājums. Skaistos vārdos tiek aprakstīta pat dzīvošana un darbā iekārtošanās ES.

Tāpat par atsevišķu samaksu var saņemt instrukciju, kā šķērsot Baltkrievijas robežu ar GPS navigāciju vai pat tiek piedāvāta robežas pāriešana pavadoņa pavadībā. Depozītā atstājamās summas zemākais slieksnis ir 3000 dolāru, augstākais var pietuvoties 20 000 dolāru.

"Cenu variāciju nosaka tas, līdz kādam punktam pavadonis aizvedīs," uz anonimitātes nosacījuma izdevumam Novaja Gazeta savā pieredzē dalās kādas baltkrievu tūrfirmas darbiniece. "Visbiežāk tā ir Vācija – 95% gadījumu. [Ceļotājs] atlido uz Minsku, iekārtojas viesnīcā un norunātajā dienā ierodas noteiktā vietā. Tur pulcējās grupa, visbiežāk no 10 līdz 45 cilvēkiem. Viņus ved līdz robežai, parāda virzienu, bet tālāk migranti dodas paši.

"Izcelsmes zemēs daudzi migranti pārdod visu savu īpašumu, lai samaksātu par nokļūšanu ES. Baltkrievijas pusē ceļazīmes migrantiem pārdod Prezidenta lietu pārvaldes paspārnē esošā iestāde Centrkurort, kā arī citas tūrfirmas, kuru starpā aktīvi darbojas arī Oscartur un Jood Land.Svarīgs aspekts – opozīcijas informācijas resursi ziņo, ka migranti koronavīrusa pandēmijas situācijā pēc ierašanās Minskā nebūt neievēro izolācijas režīmu. Savdabīgi, ka Baltkrievijas likumdošana paredz iespēju neievērot karantīnu, ja ārzemnieks ieradies komandējumā ar atbilstošu vīzu.

Lietuvas ārlietu ministra vietnieks Arnolds Abramavičus augusta sākumā oficiāli pauž, ka valsts noskaidrojusi galvenos ceļus līdz savai robežai. Savdabīgā popularitātes saraksta pašā virsotnē – tiešais reiss Bagdāde–Minska, lidojumi četrreiz nedēļā: otrdien, trešdien, piektdien, svētdien. Pēc A. Abramavičus vārdiem, migranti, kas izlido no Irākas un Turcijas, līdztekus pašam ceļojumam pērk arī kontrabandistu, kuri ieceļojušos pavada jau Baltkrievijas teritorijā, pakalpojumus.

Lielisks migrantu aktivitāšu indikators ir aviokompāniju reisu skaits. Iraqi Airways lidojumi no Irākas uz Baltkrieviju, sākot no 2017. gada, notiek divreiz nedēļā. Augusta sākumā aviokompānija uzsāk vēl trīs reisus no dažādām Irākas pilsētām. 2021. gada maijā arī Fly Baghdad sāk lidot uz Baltkrieviju – divreiz nedēļā. Katra aviokompānija vienā reisā var uzņemt 200– 300 pasažieru.

Līdztekus sevi nopietni piesaka arī maršruts caur Stambulu, ko apkalpo Belavia un Turkish Airlines. Izdevuma The Moscow Times publicētā reportāža no kāda Belavia reisa skaidri liecina – lielākā daļa pasažieru izrādās migranti, bet ekipāžas locekļi korespondentam pastāstījuši, ka skaidri zina, ko ved, lai arī izlidošanas vietās identificēt pasažierus kā migrantus praktiski nav iespējams. Viņiem ir nauda, ar dokumentiem viss kārtībā, viņu apģērbs ne ar ko neatšķiras – aviokompānijām nav nekāda pamata šos pasažierus nelaist uz borta, pat ja tām pašām rastos iebildumi.

Dzeramnauda diplomantiem

"Protams, viņi saņēma vīzas," izdevumam Novaja Gazeta pastāsta Baltkrievijas tūrfirmas darbiniece. "Tika noformēti kā tūristu grupas, un pirmajām šādām grupām dežurējošais konsuls no Ārlietu ministrijas lidostā štancēja vīzas pēc atlidošanas. Pēc tam viņi sāka saņemt vīzas jau konsulātos arābu valstu, Sīrijas, Turcijas teritorijā. Iespējams, lai arī Ārlietu ministrijas darbinieki varētu nopelnīt. Baltkrievu vīza maksā 120 dolāru."

"Vienlaikus konsuli dažās austrumu zemēs – man par to stāstīja tie, kas Baltkrievijas vīzu saņēma dzimtenē un atbrauca uz Minsku, – papildus pilnai dokumentu paketei – ielūgums, hoteļa rezervācija, biļetes abos virzienos – ņēma 300 dolāru no katra "par pozitīvu vīzas jautājuma risinājumu". Bakšišs (dzeramnauda, kukulis – red.) – austrumos ar to nevienu nepārsteigsi, visi pie tā pieraduši un arvien gatavi izvilkt maku. Un tagad iedomājies, cik daudz tādu "tūristu" ik dienu izgāja caur baltkrievu konsulu. Domāju, daudzi no šiem konsuliem atpakaļ Baltkrievijā vairs neatgriezīsies. Pārcelsies, piemēram, uz Emirātiem, būdami nodrošināti vairākus gadus uz priekšu,|" stāsta darbiniece.

Kļūst arvien grūtāk

Pēc ierašanās Minskā "tūristu" atkarībā no iegādātās paketes vai nu aizved uz viesnīcu, vai arī viņš uzreiz dodas uz noteiktu gaidīšanas vietu. Kad savācas komplekts, grupu iesēdina autobusā un aizved uz rietumu robežu. To pašu dara taksometru vadītāji, taču viņi uzņem ne vairāk kā četrus pasažierus.

"Taksisti arābiem aktīvi piedāvā "aizsviest" līdz robežai," raksta Lenta.ru. "Jautājuma cena bieži ir 250 dolāru. Tāpat taksometru šoferi mīl piebilst, ka par migrantu vešanu līdz Polijas robežai iespējams tikt pie līdz pat pieciem gadiem cietumā. (..) Pilsētā klaiņo baumas par vadītājiem, kuri veselas ģimenes aizved uz Polijas robežas vājajām vietām: nevis uz zināmajiem robežkontroles punktiem, bet gan uz slepenām pārejām. Taču tas maksā ievērojami dārgāk.

Daži veiksmīgi robežu pārgājušie ceļotāji no Tuvajiem Austrumiem Vācijas policistiem izstāstījuši, ka baltkrievu robežsargi viņiem palīdzējuši pāriet otrā pusē – izgriezuši ejas dzeloņdrāšu žogā vai arī ar dronu palīdzību uzmeklējuši drošu robežas šķērsošanas vietu.

Viegluma pakāpe, ar kādu "tūristi" no Tuvajiem Austrumiem šķērso robežlīniju (līdz ar tās pusēs atrodošos valstu attieksmi), 2021. gadā mainās strauji. Migrācijas krīzes sākumā Lietuvas, Polijas un Latvijas robežsargi pieņem "tūristus" no Tuvajiem Austrumiem un tālāk nosūta uz speciālām iestādēm. Kad robežu sāk šķērsot jau simtiem un vēlāk – tūkstošiem dienā, ES valstis pārstāj viņus ielaist, vienlaikus veidojot garus dzeloņdrāšu žogus.

Cilvēki, kuriem nav izdevies pāriet robežu, var doties atpakaļ uz Grodņu, Minsku un citiem apdzīvotiem punktiem, lai atpūstos un pēc kāda laika atkal izmēģinātu laimi. Novembrī baltkrievu robežsargi migrantus piespiedu kārtā jau ved uz robežas tuvumā izveidotām nometnēm, "lai cilvēki neatgrieztos pilsētā un tur ilgi neuzturētos, bet gan censtos no jauna šķērsot robežu", interneta izdevums The Bell citē cilvēktiesību organizācijas Human Constanta darbinieci Aļonu Čehoviču.

Ceļotāja portrets

Kas ir šie migranti? "Pirmām kārtām tie ir irākiešu kurdi," satriecošā reportāžā no Baltkrievijas robežas novembrī pauž izdevums Kommersant. "Irākas Kurdistāna – tie ir Irākas ziemeļi, daļēji autonoma valsts daļa. Ir cilvēki no pašas Irākas, no dienvidiem, kur šobrīd ne īpaši labvēlīga situācija. Satiku arī dažus sīriešus. Kolēģi sastapa vēl libāniešus un afgāņus, taču man viņi nepatrāpījās. 90–95% ir Irākas kurdi. Demogrāfiskais sastāvs – vīrieši 20–30 gadu vecumā. Taču daudz arī ģimenes cilvēku, ar maziem bērniem. Topošās māmiņas un bērni, burtiski no zīdaiņiem pāris mēnešu vecumā. Ir arī ļoti lielas ģimenes, cilvēki ar pieciem bērniem. Lielākā daļa no viņiem – vidusšķiras pārstāvji. Daudzi saka, ka viņiem ir augstākā izglītība. Tomēr daži puiši ir jaunāki: uzreiz pēc skolas vai vienkārši kaut kur strādājuši. (..) Kurp doties, viņi uzzina čatos. Kurš vada čatus, kurš pauž vajadzīgo [robežpārejas] vietu, saprast nav iespējams.""Pirmajā dienā tur bija kaut kādas ēdamā rezerves, taču nelielas," turpina Kommersant.

"Otrajā dienā Baltkrievijas varas iestādes, Baltkrievijas Sarkanais Krusts, citas sabiedriskās organizācijas atveda humāno palīdzību. Tas ir piens, gaļas konservi, es redzēju cīsiņus, ūdens, segas, minimāls medikamentu daudzums."

Ap migrantu nometni burtiski ik pēc pusmetra stāv cilvēki formastērpos, ķiverēs, pilnā bruņojumā. Daļa telšu atrodas jau poļu teritorijā – aiz poļu robežstabiem, bet vēl pirms dzeloņdrātīm. Bet visi poļi stāv uzreiz aiz dzeloņdrātīm. "Daži bēgļi stāstīja, ka viņiem sūta SMS. Izskaitļo pēc irākiešu numuriem un atsūta ziņojumus: baltkrievi jūs māna, brauciet prom, atgriezieties mājās. Bēgļi izbrīnīti un šokēti, ka robeža ir slēgta. Viņi nav paredzējuši atrasties slēgtas robežas priekšā. Viņiem var pārmest naivumu, taču viņiem ir pilnīgi cita psiholoģija, citi priekšstati par pasauli," raksta Kommersant.

"Baltkrievijas varas iestāžu atbildība – vieglums, ar kādu šie cilvēki saņem vīzas. Viņi saņem caur firmu, paši nedodas tieši uz vēstniecību vai konsulātu. Šeit viņus lidostā sagaida cilvēki, sakot: "Mēs jums palīdzam." Tādi kā brīvprātīgie. Taču acīmredzami, ka tie ir diasporas pārstāvji, kuri sen jau dzīvo šeit, Baltkrievijā".

Likumu devalvācija

Laikrakstā Novaja Gazeta publicētajā intervijā tūrfirmas pārstāve uz jautājumu, cik atsevišķi maksā tieši robežas šķērsošana, atbild: "No 700 dolāru, taču ar garantiju – 800–900 dolāru. Un maksāts tiek vienīgi pēc fakta. Ņemot vērā, ka parasti pāriet ne pa vienam, bet tomēr grupās, katrā reizē pavadonis ļoti labi nopelna."

Uz jautājumu, vai «vienīgi pēc fakta nozīmē, ka tajā pusē un tur mani satiek vietējā pavadoņa poļu kolēģis, viņa atbild: "Nē, tu ar pavadoni ej tieši uz Poliju. Un tikai, kad tu jau saproti, ka atrodies Polijas teritorijā, pieņemsim, pēc ģeolokācijas, viņam samaksā, un viņš cauri mežiem dodas atpakaļ uz Baltkrieviju."

Lietuvas aizsardzības ministrs Arvīds Anušausks paziņo, ka noskaidroti gan robežas nelegālas šķērsošanas organizētāji, gan izpildītāji, kuri izmanto baltkrievu oficiālo iestāžu labvēlību. Migranti paši atzīstot, ka cilvēki kamuflāžā viņiem sniedzot ļoti detalizētas instrukcijas: kā iznīcināt dokumentus, kā notiek iztaujāšana, kādas atbildes sniegt. "Tas, ko mēs patlaban vērojam, ir īsts bandītisms un robežsargu darbības jēgas un pienākumu apgriešana kājām gaisā," situāciju izdevumam Naša Ņiva komentē patlaban dienošs robežapsardzes virsnieks.

"Vismaz vēl pirms pusgada darbiniekiem izmaksāja prēmijas 200 rubļu apmērā par nelegālas migrācijas kanāla aizšķērsošanu, daudzi paātrinātā kārtā saņēma jaunas dienesta pakāpes par afrikāņu un irākiešu grupu aizturēšanu. Desmit cilvēku grupa uz robežas tika uzskatīta par ārkārtēju notikumu, par kuru informēja Valsts robežas komiteju. Nedod dievs, ja kāds no viņiem izlauztos – momentāni sekoja zvans poļiem, lai viņi savā pusē pārtvertu un atgrieztu, citādi lieta varēja nonākt līdz rājienam, pazeminājumam, pārcelšanai. Patlaban notiekošais – pilnīga likumu un zvēresta devalvācija."

Medijprojektam Reform.by divi citi robežsargi uz anonimitātes nosacījuma pastāsta, kā migranti neoficiāli kļuvuši "neredzami" un viņiem uz robežas tiek veidoti "logi" – pēkšņi parādās nepieskatītas zonas. Viens no intervētajiem pauž, ka pret nelegāļiem agrāk izturējās stingrāk, sastādīja administratīvo protokolu un ievietoja speciālos izvietošanas punktos sekojošai deportācijai. Tagad viņus vienkārši atlaiž.

"No priekšniecības nāca mutiska pavēle – pievērt acis uz nelegālajiem migrantiem, aizturēt vienīgi tajos gadījumos, kad kļūst pavisam nekaunīgi un cenšas iziet bezmaz caur robežkontroles punktu," pauž viens no avotiem. "Starp citu, tagad robežsargu vietā robežas kontrolei un patrulēšanai izmanto Robežapsardzības spēku speciālo nodaļu, un pilnīgi iespējams, ka cilvēki no specnodaļas parāda migrantiem, kur jādodas."

Citas ziņas

Papildināta - Policija uzgājusi līdz šim lielāko kokaīna kravu Latvijā

LETA,14.01.2019

Jaunākais izdevums

Dalies ar šo rakstu

Valsts policija (VP) starptautiskās sadarbības rezultātā izņēmusi divas tonnas kokaīna, kas ir līdz šim lielākā kokaīna krava Latvijā, informēja VP.

Veiksmīgas starptautiskās sadarbības rezultātā īstenota operācija kokaīna tranzīta apturēšanā, izņemot līdz šim lielāko kokaīna kravu Latvijā - vairāk nekā divas tonnas.

Ekvadoras laikraksts «El Comercio», atsaucoties uz šīs valsts policiju, ziņo, ka divās operācijas Latvijā un Klusajā okeānā izturētas apmēram trīs tonnas kokaīna hidrohlorīda un aizturētas sešas personas, kas tiek turētas aizdomās par narkotiku kontrabandu.

Latvijas operācijā 8.janvārī kādā lauku saimniecībā veikta operācija «TNT». Tajā aizturēti pieci Latvijas pilsoņi, pie kuriem atrasti 2199 «ķieģeļa» tipa iepakojumi, kuros esošā viela bijusi ekvivalenta vairāk nekā divām tonnām kokaīna hidrohlorīda. Narkotikas bijušas noslēptas no Ekvadoras eksportēto banānu kastēs.

Jaunākais izdevums

Dalies ar šo rakstu

Vakcinācijas pret Covid-19 kontekstā Veselības ministrija (VM) neizslēdz iespēju vakcinēt sabiedrības grupu viedokļu līderus, lai sniegtu pozitīvu piemēru pārējiem un iedrošinātu svārstīgos iedzīvotājus vakcinēties, liecina valdībā izskatītais Veselības ministrijas informatīvais ziņojums "Par prioritāri vakcinējamām personu grupām".

Ministrijā skaidro, ka sabiedrības prioritāro grupu motivācijas celšanai vakcinācijas pret Covid-19 veicināšanas kampaņā var arī tikt organizēta sabiedrības grupu viedokļu līderu jeb vakcinācijas "vēstnešu" vakcinācija. Tās ir personas, kurām ir īpaši nopelni sabiedrības labā, dažādu nevalstisko organizāciju līderi un personas, kuru viedoklī konkrētas sabiedrības grupas ieklausās un kurām uzticas. Minētās personas VM ieskatā ar savu rīcību vakcinējoties sniegs pozitīvu piemēru pārējiem un iedrošinās šaubīgos sabiedrības pārstāvjus vakcinēties.

Pēc ziņojumā minētā, patlaban tiek plānots, ka pirmajā grupā kopā ar 35 684 veselības aprūpes darbinieku ietilpst arī pacienti, kuriem saskaņā ar ārsta lēmumu nepieciešama nopietna medicīniska manipulācija. Piemēram, onkoloģiskie pacienti, pirms vai ķīmijterapijas laikā, pacienti un donori pirms orgānu vai cilmes šūnu transplantācijas, vai āri pacienti, kuri ilgstoši uzturas stacionārā ārstniecības iestādē.

Jaunākais izdevums

Dalies ar šo rakstu

Valsts ieņēmumu dienesta (VID) Nodokļu un muitas policijas sāktā un izmeklētā kriminālprocesā Eiropas Prokuratūra (EPPO) Rīgā un Viļņā veikusi plaša mēroga operāciju pret noziedzīgu sindikātu, kas tiek turēts aizdomās par sarežģītu pievienotās vērtības nodokļa (PVN) krāpšanas shēmu saistībā ar elektronisko preču tirdzniecību, aģentūru LETA informēja VID pārstāvji.

VID informē, ka īstenotā krāpšana radījusi PVN zaudējumus vairāku Eiropas Savienības (ES) valstu budžetos kopumā aptuveni 297 miljonu eiro apmērā.

Izmeklēšanā noskaidrots, ka aizdomās turētie ir dibinājuši uzņēmumus 16 ES dalībvalstīs, darbojoties kā likumīgi elektronisko preču piegādātāji. Kopumā ar tiešsaistes tirdzniecības vietu starpniecību tiešajiem klientiem ES teritorijā pārdotas populāras elektroniskās ierīces vairāk nekā 1,48 miljardu eiro vērtībā, radot zaudējumus vairāku ES dalībvalstu budžetos.

Pircēji nomaksāja PVN par iegādātajām precēm, savukārt uzņēmumi, iespējams, izmantojot fiktīvu uzņēmumu ķēdi, kuriem bija pienākums veikt nodokļu nomaksu, nepildīja nodokļu saistības. Līdzekļi, kas iegūti no preču pārdošanas, tika pārskaitīti uz ārzonas kontiem.

Citas ziņas

Latvijā un sešās citās valstīs aizturēti kibernoziedznieku naudas atmazgātāji

LETA--AP,16.10.2020

Jaunākais izdevums

Dalies ar šo rakstu

Eiropas un ASV amatpersonas ceturtdien paziņoja, ka vairākās valstīs, tostarp Latvijā, aizturēti 20 cilvēki par līdzdalību starptautiskā tīklā, kas atmazgājis miljoniem eiro, kurus ar ļaunatūru palīdzību nozaguši kibernoziedznieki.

Latvijā aizturēti seši cilvēki.

Portugāles izmeklētāju un ASV Federālā izmeklēšanas biroja (FIB) vadītā starptautiskā policijas operācija notika Eiropas policijas organizācijas Eiropola pārraudzībā un aptvēra 15 Eiropas valstis.

Eiropols paziņoja, ka operācijā aģenti pārmeklējuši vairāk nekā 40 mājokļus Spānijā, Itālijā, Bulgārijā un Latvijā.

Visvairāk kratīšanu veikts Latvijā, kur aizturēti seši cilvēki. Vēl seši cilvēki aizturēti Lielbritānijā, četri - Spānijā, un pa vienam Portugālē, Polijā, ASV un Austrālijā, pavēstīja Eiropols.

Pensilvānijas štata rietumu apgabala federālā zvērināto tiesa ceturtdien izvirzīja apsūdzības 14 cilvēkiem, no kuriem astoņi ir Latvijas valstspiederīgie - Martins Ignatjevs, Dmitrijs Kuzminovs, Valentīns Sevecs, Dmitrijs Šļapins, Armens Vecels, Tomass Treščinks, Ruslans Šarapovs un Silvestrs Tamenieks, teikts ASV Tieslietu ministrijas paziņojumā. Pārējie seši apsūdzētie ir pa diviem Gruzijas un Bulgārijas pilsoņiem un pa vienam Rumānijas un Beļģijas pilsonim.

Finanses

Saistībā ar JuicyFields krāpšanas shēmu veiktas aizturēšanas sešās valstīs, tai skaitā Latvijā

LETA/AFP,15.04.2024

Jaunākais izdevums

Dalies ar šo rakstu

Eiropas valstu policija kopīgā operācijā aizturējusi deviņas personas, kas tiek turētas aizdomās par dalību vērienīgā krāpšanas shēmā, kurā, solot lielu peļņu no medicīnā izmantojamās marihuānas audzēšanas, apkrāpti vairāk nekā 180 000 investoru, piektdien paziņojusi Eiropas Savienības (ES) tiesībaizsardzības aģentūra "Eiropols".

Reidos Eiropā un Dominikānas Republikā ceturtdien piedalījās aptuveni 400 likumsargi. Operācija bija vērsta pret krāpšanas shēmu "JuicyFields".

Policija aizturēja aizdomās turamos Lielbritānijā, Vācijā, Itālijā, Latvijā, Spānijā un Dominikānas Republikā, kur tika aizturēts viens no galvenajiem aizdomās turamajiem.

"Saskaņā ar tiesu aplēsēm kopējie zaudējumi, kas radušies viltus investīciju rezultātā reklamētajā kaņepju audzēšanas pūļa finansējuma platformā, sasniedz 645 miljonus eiro," paziņoja "Eiropols".

"JuicyFields" laikā no 2020. līdz 2022.gadam vilināja klientus ieguldīt tikai 50 eiro, lai iegādātos kaņepju augu tiešsaistē tā dēvētajās "e-audzēšanas iespējās". Tīmekļa vietne apgalvoja, ka savieno investorus ar medicīnisko kaņepju ražotājiem, solot gada peļņu 100% vai vairāk, un sākotnējiem ieguldītājiem tika izmaksāta divkārša ieguldījuma summa, atklāja "Eiropols".

Jaunākais izdevums

Dalies ar šo rakstu

Valsts policija 3.oktobrī saņēma informāciju, ka Baltijas jūras ūdeņos uz jahtas atrodas nolaupīts Latvijas valsts piederīgais. Piesaistot Valsts policijas pretterorisma vienību Omega, Nacionālo bruņotos spēkus un Latvijas robežsardzi tika veikta vērienīga operācija, dažu stundu laikā atbrīvojot nolaupīto vīrieti un aizturot aizdomās turēto personu.

Saistībā ar notikušo uzsākts kriminālprocess un tiek skaidroti nozieguma motīvi.

3. oktobrī ap pulksten astoņiem no rīta Valsts policija saņēma informāciju par 1965. gadā dzimuša vīrieša iespējamu nolaupīšanu. Nolaupītā persona atradās uz jahtas Baltijas jūrā. Cietušais par notikušo bija paziņojis saviem tuviniekiem, kuri savukārt sazinājās ar Valsts policiju.

Valsts policijas Galvenās Kriminālpolicijas pārvaldes Kriminālizmeklēšanas pārvaldes amatpersonas nekavējoties uzsāka nepieciešamās operatīvās un izmeklēšanas darbības. Ņemot vērā situācijas nopietnību, gatavojoties personas atbrīvošanas operācijai, tika piesaistīta Valsts policijas pretterorisma vienības Omega kaujinieki, Latvijas Nacionālo bruņoto spēku un Valsts robežsardzes darbinieki. No Rīgas uz Roju, kas ir tuvākā vieta jahtas iespējamai atrašanās vietai, tika nosūtīts Latvijas Nacionālo bruņoto spēku helikopters. Tāpat operācijā tika izmantoti Latvijas Nacionālo bruņoto spēku karakuģi un Valsts robežsardzes kuģis.

Mazumtirdzniecība

VP Centrāltirgū izņēmusi lielu daudzumu kontrabandas preču un aizturējusi 15 cilvēkus

LETA,07.11.2017

Jaunākais izdevums

Dalies ar šo rakstu

Valsts policija sestdien speciālā operācijā Rīgas Centrāltirgū izņēmusi lielu daudzumu kontrabandas preču un aizturējusi 15 cilvēkus, telekanāla LNT raidījumā «900 sekundes» teica iekšlietu ministrs Rihards Kozlovskis (V)

Viņš skaidroja, ka operācija tika gatavota vairākus mēnešus. Tajā piedalījās daudzi Valsts policijas un Pašvaldības policijas darbinieki.

Operācija bija vērsta ne tik daudz uz gala tirgotājiem, kā uz nelegālo preču piegādātājiem un organizētājiem.

Ministrs informēja, ka kopā izņemti vairāki simti tūkstošu cigarešu, izņemts alkohols, narkotikas, skaidra nauda un dārglietas.

Kriminālprocesa ietvaros aizturētas 15 personas. Notiek izmeklēšana.

Ekonomika

Apstrādes rūpniecībā uzvarēs tas, kurš spēs ātri pielāgoties

Žanete Hāka,03.04.2020

Jaunākais izdevums

Dalies ar šo rakstu

Apstrādes rūpniecībai tuvākajā laikā nāksies savilkt jostu un uzvilkt masku - eksporta tirgos situācija nav labvēlīga, un ieguvēji ir tie uzņēmumi, kuriem izdodas ātri pārorientēt ražošanu un izgatavot šobrīd aktuālās preces, atzīst eksperti.

Centrālās statistikas pārvaldes dati liecina, ka februārī ražošanas apjomi Latvijas rūpniecībā ir auguši par 0,8% salīdzinājumā ar 2019. gada februāri, savukārt salīdzinājumā janvāri izlaide augusi par 3%. Normālos apstākļos šī būtu laba ziņa, taču pēdējā mēneša laikā situācija pasaulē, kā arī Latvijā ir radikāli mainījusies un februāra makroekonomikas radītāji faktiski vairs nekādā veidā neraksturo ekonomisko situāciju Latvijā šodien, atgādina "Citadele banka" ekonomists Mārtiņš Āboliņš.

Veselības krīze, ko ir izraisījis COVID-19 vīruss, jau ir radījusi lielus zaudējumus pasaules ekonomikā. Pēdējo divu nedēļu laikā tikai ASV vien darbu ir zaudējuši 10 miljoni cilvēku. Tas ir vairāk nekā 2007.-2009. gada finanšu krīzes laikā kopā. Arī Latvijā pēdējo divu nedēļu laikā bezdarbnieku skaits aug tik pat ātri vai pat ātrāk kā 2009. gadā. Šī primāri, protams, ir cerams pārejoša pakalpojumu krīze, kas ir saistīts ar distancēšanās pasākumiem, taču ekonomiskie zaudējumi būs lieli un cietīs arī ražotāji, piebilst M. Āboliņš.

Eksperti

Investēt vai nē? Digitālajos produktos - jo ātrāk, jo labāk

Renārs Jansons, "CUBE Systems" līdzdibinātājs,05.08.2025

Jaunākais izdevums

Dalies ar šo rakstu

Uzņēmēji cer, ka mākslīgais intelekts (MI) spēs atrisināt aizvien pieaugošo talantu trūkuma problēmu. Taču patiesībā esošie risinājumi - digitālie produkti - jau tagad var palīdzēt gan paveikt vienkāršus uzdevumus, gan ievērojami ietaupīt izmaksas.

Digitālais produkts ir mājaslapa, pašapkalpošanās portāls, e-veikals, lietotne vai jebkurš cits digitāls risinājums, kas palīdz biznesam. To ieviešana ļauj ne tikai palielināt ieņēmumus, bet arī samazināt izdevumus.

Piemēram, ja klientam ir pieejams pašapkalpošanās portāls, ir iespēja ievērojami samazinātu klientu apkalpošanas izmaksas. "Gartner" aplēsis, ka viena fiziska saskare ar klientu (telefona zvans, e-pasts, čats) uzņēmumam izmaksā aptuveni 8 dolārus, savukārt pašapkalpošanās portāla izmantošana šo saskari padara ievērojami lētāku. "Gartner" jau 2019. gadā apgalvoja, ka digitāla viena klienta apkalpošana izmaksā tikai 10 eirocentus. Tātad 98,75% izmaksu ietaupījums! Tagad, iespējams, šīs izmaksas būtu vēl mazākas, jo risinājumi ir vēl daudz vairāk attīstījušies un vēl vairāk procesu iespējams automatizēt. Tajā skaitā jēgpilni integrējot mākslīgo intelektu (MI).

Ekonomika

No Covid-19 veltīta hakatona uzvarētājiem NVD iegādāsies 10 000 sejas vairogus

LETA,26.03.2020

"Baltic3D" līdzīpašnieks Didzis Dejus un Latvijas Ārstu biedrības (LĀB) prezidente Ilze Aizsilniece.

Avots: Didzis Dejus/Facebook

Jaunākais izdevums

Dalies ar šo rakstu

Nacionālais veselības dienests noslēdzis līgumu par 10 000 sejas vairogu izgatavošanu ar iniciatīvas grupu "shield48", kas vien aizvadītajā nedēļā ar savu ideju par šādu vairogu izgatavošanu ar trīsdimensiju (3D) printeri uzvarēja virtuālajā hakatonā "HackForce", to apliecināja Latvijas Ārstu biedrības (LĀB) prezidente Ilze Aizsilniece.

Iepriekš viens no šīs iniciatīvas autoriem, uzņēmuma "Baltic3D" līdzīpašnieks Didzis Dejus norādīja, ka aizsargmasku izveidē viņam savu viedokli sniegusi arī LĀB prezidente. Produkta izstrādē tā autori konsultējās ar ārstiem gan par kvalitāti, gan arī par to, kā tos dezinficēt. Iniciatīvas mērķis ir pašreizējos apstākļos nodrošināt visiem nepieciešamos sejas aizsargus, kuri ļautu samazināt potenciālo inficēšanās risku, piemēram, pieskaroties sejai.

Aizsilniece apliecināja, ka ir sniegusi viedokli "shield48.eu" aizsargmasku izveidē. Pēc viņas teiktā, šo sejas vairogu veidošana tika saskaņota ar Veselības ministrijas galveno speciālistu infektoloģijā Ugu Dumpi un citiem kolēģiem no Paula Stradiņa klīniskā universitātes slimnīcas. Turklāt šos sejas vairogus var lietot atkārtoti, jo tie ir dezinficējami ar tīrīšanas līdzekli ar 70% spirta klātbūtni, piebilda Aizsilniece.

Viedokļi

Ētikas evolūcija vai ētiskās domāšanas paradigmas maiņa?

Laila Cekule, LU Biznesa, vadības un ekonomikas fakultātes lektore,17.04.2020

Mičiganas Augstākā tiesa spriedumā lietā Dodge pret "Ford Motor Company" stingri nolēma, ka "Ford" ir jādarbojas tā akcionāru, nevis darbinieku un vadītāju interesēs.

Foto: Mary Evans Picture Library/Scanpix/

Jaunākais izdevums

Dalies ar šo rakstu

Kaut arī viena no informācijas laikmeta iezīmēm - piekļuve informācijai bezprecedenta mērogā - ir pārveidojusi sabiedrību un līdz ar to arī uzņēmējdarbības vidi, rodas jautājums, vai sabiedrība ir kļuvusi patiesāka un cik lielā mērā tas ir ietekmējis biznesa ētikas vidi.

Pakāpeniski laika gaitā ir palielinājusies izpratne par uzņēmējdarbības ētisko dimensiju. Tomēr krīzes situācijās visbiežāk atklājas patiesās ētikas vērtības. Ar interneta laikmeta parādīšanos 20.gadsimta beigās tika izstrādāti profesionālās ētikas kodeksi uzņēmumu stratēģisko mērķu sasniegšanai. Ja atzīstam, ka biznesam šodien ir divi mērķi - rentabilitāte un atbildība -, varētu pieņemt, ka biznesa ētika šobrīd ir daudz labākā situācijā nekā agrāk. Neraugoties uz to, viens no vissvarīgākajiem ētiskajiem apsvērumiem pēdējo gadu laikā ir bijis patērētāju privātuma saglabāšana, kamēr uzņēmumi turpina iegūt informāciju no lietotājiem mārketingam vērtīgu datu apstrādei. Tāpat priekšplānā aizvien straujāk izvirzās atbildība pret vidi, kurā visi dzīvojam.

Jaunākais izdevums

Dalies ar šo rakstu

Iecere par helikoptera nosēšanās laukumu uz daudzstāvu autostāvvietas jumta pašlaik tiek padziļināti pētīta, jo lēmumi par daudzstāvu autostāvvietas būvniecību ir cieši saistīti arī ar jaunā korpusa būvniecību un varēs tikt pieņemti tikai pēc detalizētas Rīgas Austrumu klīniskās universitātes slimnīcas (RAKUS) priekšlikumu izvērtēšanas.

Secīgi pēc tam, kad tiks izstrādāti normatīvie akti par ES Atveseļošanās un noturības mehānisma un ES fondu 2021.-2027. gada plānošanas perioda īstenošanas kārtību un nosacījumiem.

Helikopteru laukums uz jumta prasīs jaunus lidaparātus

Uz daudzstāvu autostāvvietas jumta smagie — bijušajā PSRS ražotie MI helikopteri, kādi...

Tādu pozīciju atbildēs uz Dienas Bizness jautājumiem pauž Veselības ministrijas (valsts kapitāldaļu turētāja valsts veselības aprūpes kapitālsabiedrībās) īpašumu un tehniskā nodrošinājuma nodaļas vadītāja Agnese Jurevica.

Db.lv jau vēstīja, ka, lai Gaiļezera ēku kompleksā integrētu Tuberkulozes un plaušu slimību centru, kā arī Latvijas Infektoloģijas centru, uzbūvējot atsevišķu ēku un attiecīgu infrastruktūru, kuras izmaksas tiekot lēstas 127,0 milj. eiro apmērā, ko plānots finansēt no ES Attīstības un noturības mehānisma un Eiropas Reģionālā attīstības fonda līdzekļiem. Šo ieceri, kā tika stāstīts Saeimas Pieprasījumu komisijas sēdē, plānots īstenot vietā, kur pašlaik atrodas helikoptera nosēšanās laukums.

Vai šāda plānotā iecere joprojām ir spēkā? Ja jā, tad kad varētu sākties iecerētās daudzstāvu autostāvvietas ar helikoptera nolaišanās laukumu uz jumta projekta īstenošana?

Atbilstoši Rīgas Austrumu klīniskās universitātes slimnīcas sniegtajai informācijai, šī iecere ir spēkā un pašlaik norit padziļināta izpēte, kuras ietvaros tiks detalizēti pētīti gan tehniskie risinājumi ēkai, gan projekta realizācijas termiņi, izmaksas un finansēšanas modeļi. Līdz ar to autostāvvietas infrastruktūras projekta realizācija paredzēta 2023.gadā. Vienlaicīgi vēršam uzmanību, ka gala lēmumi par daudzstāvu autostāvvietas būvniecību ir cieši saistīti arī ar jaunā korpusa būvniecību un lēmums tiks pieņemts tikai pēc detalizēta RAKUS priekšlikuma izvērtēšanas un pēc tam, kad tiks izstrādāti normatīvie akti par Eiropas Savienības (ES) Atveseļošanās un noturības mehānisma un ES fondu 2021.-2027. gada plānošanas perioda īstenošanas kārtību un nosacījumiem.

Helikoptera laukums - šaurais pudeles kakls divu stacionāru izveidei

Esošā helikoptera laukuma "uzcelšana" uz daudzstāvu autostāvvietas jumta publiskās privātās...

Vai ir izvēlēts privātais partneris?

Vēršu uzmanību, ka tiek veikta kopējā projekta finanšu ekonomisko aprēķinu izstrāde, tai skaitā - ieviešanas finansēšanas modeļa izvēle. Finanšu modeļi var būt dažādi - iespēja finansēt projektu no slimnīcas budžeta līdzekļiem, aizņemta kapitāla vai publiskās un privātās partnerības (PPP) formā. Šobrīd nav pieņemts lēmums par PPP projekta īstenošanu, bet atbilstoši normatīvajiem aktiem tiek veikta projekta izpēte, tai skaitā juridiskā un risku, kā arī ekonomiskā izpēte.

Jautājumus par PPP projekta uzsākšanu pēc būtības, risku sadalījumu un iespējamo formu, termiņiem, īpašuma tiesībām varēs izlemt tikai pēc aprēķinu veikšanas, saskaņošanas un normatīvos aktos noteiktā lēmuma par PPP projekta uzsākšanas pieņemšanas, normatīvajos aktos noteiktajās institūcijās. Līdz ar to – nav notikusi privātās partnerības projekta izvēle. Lēmums par finanšu modeļa izvēli, izvērtējot to lietderību un efektivitāti, tiks izskatīts un pieņemts RAKUS Padomē, kā arī piesaistot Veselības ministriju kā RAKUS valsts kapitāla daļu turētāju.

Par helikoptera laukumu uz jumta pieprasa paskaidrojumus premjeram

Par valstij piederošās SIA Rīgas Austrumu klīniskā universitātes slimnīca vadības vēlmi izveidot...

Cik ilgā laikā šo ieceri iecerēts materializēt?

Saskaņā ar manā rīcībā esošo informāciju autostāvvietas infrastruktūras ieceres īstenošana varētu tikt realizēta 2023.gadā.

Vai Latvijā ir helikopteri slimnieku transportēšanai, kuri varēs nosēsties uz iecerētās daudzstāvu autostāvvietas jumta? Ja nav, tad kas tos iegādāsies (iznomās)?

Tehniskā risinājuma izstrādē paredzēts izmantot tādu helikopteru tehniskos parametrus, kas jau šobrīd tiek izmantoti pacientu transportēšanai. Šos helikopterus nodrošina gan Nacionālie bruņotie spēki, gan Valsts robežsardze. Vienlaikus jāņem vērā apstāklis, kad, piemēram, donoru orgānu apmaiņa notiek arī starpvalstu līmenī, tādēļ detalizācijas fāzē tiks ņemti vērā arī Lietuvas un Igaunijas izmantoto helikopteru tehniskie parametri.

Skride: Latvijai NMPD vajadzībām jāiegādājas medikopters

Latvijai Neatliekamās medicīniskās palīdzības dienesta (NMPD) vajadzībām ir jāiegādājas medikopters,...

Projektā par helikoptera nolaišanās laukuma izveidi RAKUS konsultēsies arī ar Neatliekamās medicīniskās palīdzības dienesta atbildīgajiem speciālistiem.

Kad plānots sākt būvēt jaunu integrētu tuberkulozes un plaušu slimību, kā arī infektoloģijas centru “Gaiļezers” ēku kompleksā? Kad to paredzēts nodot ekspluatācijā?

Jaunā ārstniecības korpusa būvdarbu izmaksas ir iekļautas Atveseļošanās un noturības mehānisma plānā, kā arī tiek plānotas ES fondu 2021.-2027. gada plānošanas perioda ietvaros. Detalizēti nosacījumi ārstniecības iestāžu attīstībai tiks iekļauti attiecīgā normatīvajā regulējumā par ES fondu un ANM atbalsta īstenošanas kārtību, līdz ar to ir paredzēta RAKUS sagatavotā priekšlikuma (projekta) detalizētāka izvērtēšana lēmuma pieņemšanai atbilstoši minētajiem normatīvajiem aktiem.

RAKUS būvdarbus plānojusi uzsākt 2023.gadā un pabeigt - līdz 2026.gada vidum, nodrošinot jaunā korpusa pilnu funkcionalitāti 2026.gada 3.ceturksnī.

Auto

Autoražotāji pievēršas medicīniskā aprīkojuma ražošanai

Lelde Petrāne,24.03.2020

Jaunākais izdevums

Dalies ar šo rakstu

Autoražotāji, lai sniegtu atbalstu Covid-19 uzliesmojuma laikā, atbildot valdību aicinājumiem, pievērsušies medicīniskā aprīkojuma ražošanai, ziņo BBC.

Tā, piemēram, pirmdien "Fiat" sāka pārveidot vienu no savām automašīnu rūpnīcām Ķīnā, lai spētu izgatavot apmēram vienu miljonu medicīnisko masku mēnesī. Autoražotājs iecerējis sākt ražošanu tuvāko nedēļu laikā.

Citi autoražotāji meklē veidus, kā pārorientēties uz plaušu ventilācijas iekārtu ražošanu.

"General Motors", "Ford" un "Tesla" ASV apņēmušies sniegt atbalstu, nodrošinot plaušu ventilācijas iekārtas. To pašu solījuši arī Japānas autoražotājs "Nissan" un "Formula 1" komandas Lielbritānijā.

Kā vēstīts, lielākās automašīnu ražotnes ASV, Eiropā un Āzijā apturējušas spēkratu ražošanu, lai mēģinātu novērst Covid-19 izplatību.

ASV prezidents Donalds Tramps sociālajā tīklā "Twitter", uzrunājot "General Motors", "Ford" un "Tesla", rakstījis: "ĀTRI! Dodieties uz priekšu, lai mēs redzētu, cik labi jūs esat." ASV Pārtikas un zāļu pārvalde samazinājusi šķēršļus medicīnisko ierīču apstiprināšanas procesā, lai palīdzētu paātrināt ventilējamo ierīču ražošanu.

Ekonomika

Valsts Robežsardzes koledžā gatavo zelta robežsargus

Juris Paiders, speciāli Dienas Biznesam,23.02.2023

Jaunākais izdevums

Dalies ar šo rakstu

Uzstādīt septiņas robežsargu skulptūras dabīgā izmērā, izlietojot 70 kg tīra sudraba katrai statujai, Latvijas valstij jau ir lētāk, nekā sagatavot vienu zemākā līmeņa augstākās izglītības kvalifikācijas robežsargu. Viens 2019. gada Valsts robežsardzes koledžas absolvents ar zemāko augstākās izglītības grādu mums visiem izmaksāja vairāk nekā 240 000 eiro.

DB 7. februāra rakstā Cik mums izmaksā viens valsts augstskolas absolvents? tikai aizsākts apskats par Latvijas augstskolās 2017. gadā uzsāktā augstskolu absolventu monitoringa rezultātiem, kurā es sāku analizēt valsts augstskolu, bet DB 14. februāra numurā arī privāto augstskolu rezultātus. Tagad ir turpinājums, kurā ir apskats par valsts koledžu izglītības rezultātiem.

Fragments no raksta

Ja augstskolas ir visai vienkārši salīdzināt, kaut vai vērtējot absolventu skaitu, tad salīdzināt valsts koledžas un koledžām atbilstošām valsts augstskolu aģentūrām nav tik vienkārši. Ir koledžas, kuras gatavo tikai 1. līmeņa profesionālās augstākās izglītības speciālistus, kas var veikt sarežģītu izpildītāja darbu, kā arī organizēt un vadīt citu speciālistu darbu (https://www.niid.lv/prof_kval), bet ir koledžas, kas vienlaicīgi sagatavo arī speciālistus ar profesionālo vidējo izglītību un arodizglītību.